见圳客户端·深圳新闻网2021年2月3日讯(记者 刘梦婷)2月3日,腾讯联合深圳大学,研发并上线了一批“特殊”的验证码,与其他常见的图片验证码不同,它们全部由清一色的黑白灰图片构成。
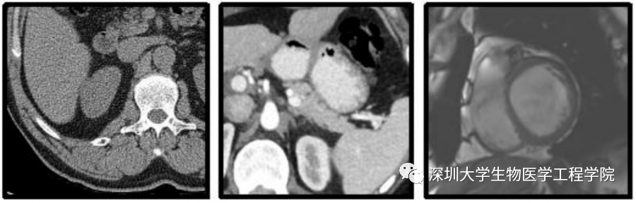
这批验证码全名为“MedCAPTCHA医学图像验证码”,由腾讯安全平台部和深圳大学生物医学工程学院合作研发,验证中所用到的图片,全部来自于临床上真实的脱敏医学图像,通过验证码的形式开放给广大网民自愿体验及参与标注。
双方期望运用技术的力量,解决社会医疗流程和资源存在的痛点,让医疗影像的标注和诊断变得更加高效和准确,进而减少病人延误诊断或漏诊的情况。
目前,在腾讯防水墙官网灰度上线后,已有近万名用户体验了MedCAPTCHA医学图像验证码,累计贡献了近2万条正确标注的医学图像数据,项目也在持续迭代优化中。
MedCAPTCHA医学图像验证码已在腾讯防水墙官网灰度上线
医学诊疗和研究的“路标”
在医学上,90%的临床诊断需要借助经过标注的医学影像——病灶和相关器官的有效标注数据,能帮助医生在疾病诊断、病情评估、发展趋势预测、治疗策略制定等方面,提供重要的定量化信息。
被标注的医学图像,融入了专家的经验知识与判断,能够缩减广大医务人员的重复工作和劳动时间,还可以应用在AI辅助医学诊断等领域,有效推动医学研究和临床诊疗的高效开展。
但现阶段对于有限的医务人力资源而言,医学图像的勾画标注,是一项相当庞大而繁杂的工作。仅仅是针对单个病人的一组医学图像,简单的需要半小时完成勾画,复杂的则要花上一两小时。
在过去的四十年中,学术界和工业界的研究人员研发了大量基于人工智能辅助的半自动甚至全自动的标注算法,但是这些算法模型,往往需要经过足够多的标注医学图像数据训练,才能达到普适性更强、准确度更高的分类或诊断效果。因此,快速获取海量的、具有准确标注的医学图像数据,对医疗领域来说困难且迫切,仅仅依靠少数专业医务者或医学研究人员的力量远远不够。
安全验证技术与医学的跨界融合
验证码是一种人机识别手段,其主要作用是防止垃圾注册、刷量刷票、论坛灌水等恶意行为。从安全角度出发,其主要意义是降低某一些用户用特定程序暴力破解方式进行网站登录,获取相关验证用户的信息,保证用户的信息安全。
公开数据显示,全球网民每日累计输入验证码近2亿次,而我国网民规模超过9.4亿。按照这一数据估算,如果借助庞大网民群体的力量,就能够在1小时内勾画完成4家大型医院整整一年所需的医学图像标注量。
基于这一想法,腾讯安全平台部防水墙团队与深圳大学医学工程学院高毅教授团队合作研发并灰度上线了“MedCAPTCHA医学图像验证码”公益实践项目,供广大网民自愿体验。研发人员把深圳大学提供的未经标注的海量脱敏医学图像,以图片验证码的形式上线防水墙官网。
MedCAPTCHA在线验证模式
在这个自愿体验的安全验证环节中,用户只需要参照给出的图片示例“照猫画虎”,移动鼠标在图片上进行简单勾画,就能完成在线验证,并成功提供了一次医学图像标注答案。
针对严肃而细致的医学研究及诊疗场景,人机验证模式让广大网民参与到医学图像标注的初筛工作中来。而对于收集到的图像标注信息,专业医学研究人员会在后台对收集到的图像标注信息进行融合和筛选处理,最终将质量最优的数据提供给大数据工作者和医生群体。
人工识别标注的结果,将为公共医疗统计、精准医疗分析提供可靠的、核心的影像特征基础,还可以作为机器学习的训练样本,促进人工智能在医疗领域的更多应用。该公益项目也正在联合腾讯用户研究与体验设计团队(CDC)持续迭代优化中。
即使是不具备任何专业医学知识的普通网民,也能起到至关重要的作用,共同助力医疗影像的标注和诊断变得更高效、更准确。

